Jakarta (Tribunnews.com) – Dalam upaya memonitor angka kasus Tuberkulosis, Kementerian Kesehatan meminta masyarakat untuk melaporkan kepada petugas kesehatan seperti Puskesmas dan rumah sakit.
Tingkatkan Kinerja, 50 Bidan Diberi Pelatihan Internet
Kefamenanu (Kompas.com) – Demi meningkatkan kinerja melalui sistem online, sebanyak 50 orang bidan di Kabupaten Timor Tengah Utara (TTU) Nusa Tenggara Timur (NTT) mendapatkan pelatihan tentang informasi teknologi dari Australian Agency International Development (Ausaid).
Jumlah Dokter Spesialis Selalu Memprihatinkan
Kebanjiran Pasien, RS Dr Moewardi Seperti Puskemas Raksasa
Solo (timlo.net) – Bangsal Rumah Sakit Umum Daerah (RSUD) dr Moewardi, Jebres, Solo kebanjiran pasien. Kondisi tersebut terdapat pada bangsal Kelas III serta bangsal VIP.
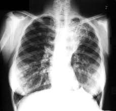
Tantangan di Balik Keberhasilan Program TB
Jakarta (Jaringnews.com) – Indonesia mendapatkan Achievement Award dari Global Health USAID sebagai negara yang paling berhasil dalam mengatasi permasalahan Tuberkulosis (TB), Rabu, (20/3) lalu.
Utilisasi Obat Kronis Diprediksi Meningkat Tajam Saat BPJS
Jakarta (beritasatu.com) – Utilisasi atau pemanfaatan obat-obat kronis diperkirakan akan meningkat tajam saat Badan Penyelenggara Jaminan Sosial (BPJS) Kesehatan dilaksanakan per 1 Januari 2014 mendatang. Dengan demikian, kebutuhan akan meningkat, sehingga mendorong peningkatan produksi obat juga naik lebih besar.
Izin Praktik 29 Dokter Dicabut
Balikpapan (Metrotvnews.com) : Izin praktik 29 dokter dicabut dalam kurun waktu enam tahun terakhir karena melanggar kode etik. Ketua Perhimpunan Dokter Spesialis Bedah Indonesia Paul L Tahalele mengatakan pencabutan izin itu terjadi sepanjang 2006 hingga 2012 atas 128 kasus dugaan kelalaian medis yang dilaporkan kepada Majelis Kehormatan Disiplin Kedoktera Indonesia (MKDKI).
Banyak Dokter Bedah Enggan Ditugaskan ke Daerah Terpencil
Perbaiki Sistem Rujukan dan Layanan 119, Pemprov DKI Gandeng FK UI dan RSCM
Jakarta (detik.com) – Pemprov DKI Jakarta terus memperperbaiki sistem rujukan agar pasien dapat terlayani dengan baik. Untuk itu, Dinas Kesehatan DKI Jakarta menggandeng Fakultas Kedokteran Universitas Indonesia (FK UI) dan Rumah Sakit Cipto Mangunkusumo (RSCM) untuk menyusun aturan rujukan.
Angka Kematian Ibu di Kaltim Tinggi
Balikpapan (Metrotvnews.com): Menteri Kesehatan Nafsiah Mboi mengkritik Pemerintah Provinsi Kalimantan Timur (Kaltim) karena angka kelahiran di provinsi itu nyaris dua kali lipat dibandingkan dengan angka rata-rata nasional. Selain itu, angka kematian ibu juga tinggi.